Curated Content
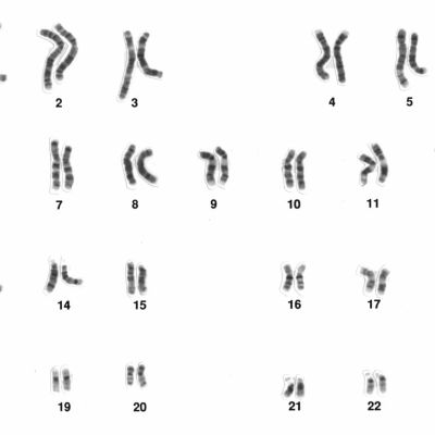
By Ian Steadman The influence of the XX/XY model of chromosomal sex has been profound over the last century, but…
[slideshow_deploy id=’7290′] The city that has come to be touted as the “rape capital” proves to be the ideal ground…
Foods of various kinds have been historically used to prevent conception and to induce abortion. 4000 Years For Choice celebrates the practices…
Posted By Roseline Kihumba at 12:34, 04 March 2015 There was yet another opportunity for the HelpAge network to take…
Marge Berer Editor, Reproductive Health Matters What has gone wrong at WHO? The Lancet’s Offline report (31 May) of what…
[slideshow_deploy id=’6681′] The buzzword for the world of development in the 21st century is “Young People.” But there are serious…
[slideshow_deploy id=’6698′] The Millennium Development Goals (MDGs) have not always been easy to understand. In this set of posters the…
This post is a part of TARSHI‘s #TalkSexuality Campaign. By Gaurav Sharma: “Ma’am, do we have to make the diagram on…
This post is a part of TARSHI‘s #TalkSexuality Campaign. By Shruti Arora “I’ve never told this to anyone before, but…
By Dhrubo Jyoti This post is part of TARSHI’s #TalkSexuality campaign on Comprehensive Sexuality Education in collaboration with Youth Ki Awaaz. I remember I was…
By Kirrat Sachdeva This post is part of TARSHI’s #TalkSexuality campaign on Comprehensive Sexuality Education in collaboration with Youth Ki Awaaz. Talking about the need…
This post is part of TARSHI’s #TalkSexuality campaign on Comprehensive Sexuality Education in collaboration with Youth Ki Awaaz. The author chose to remain anonymous. College is…