The influence of the XX/XY model of chromosomal sex has been profound over the last century, but it’s founded on faulty premises and responsible for encouraging reductive, essentialist thinking. While the scientific world has moved on, its popular appeal remains.
When the International Astronomical Union (IAU) reclassified Pluto from planet to dwarf planet in 2006, it did nothing to change the fact of the existence of Pluto. Its status, however, is an innocuous example of how science is not always an objective descriptor of reality, but an interpreter, loaded with the context of previous generations – how the Greek “planetai” and the post-Copernican “planets” were both labels to describe things that moved in the heavens, even if we realised those things weren’t actually that similar to each other on closer inspection over time.
The scientific process often involves tweaking taxonomies. Humanity saw distant objects above, and the taxonomy we built was simple: two entries, one labelled “planets”, the other “stars”. Over time we added extra things, like asteroids (rocky) and comets (icy), to cover new discoveries – and, then, even further research (and pictures like those returned by the Rosetta probe) meant that some of the things we thought made asteroids and comets very different were really only a reflection of our perspective. (And, for what it’s worth, at the same meeting in 2006 where the IAU created the new term “dwarf planet” for objects like Pluto and “planet” for, y’know, planets, it also voted to use “small Solar System body” for everything else. This too will pass, probably.)
We all believe in the existence of comets and asteroids, even though the colloquial distinction between them makes less and less formal sense – would we bother with two different names if we’d only discovered them today? What purpose would drawing the dividing line between them that way serve?
Famously, when the first taxidermied duck-billed platypus was sent back to London by naturalists working in Australia, it was believed to be a hoax, as it refused to cohere to the then-accepted definitions of mammals and birds by insisting on being a hairy warm-blooded creature that laid eggs. The taxonomical status of the platypus (and the few other egg-laying monotremes that have yet to become extinct) is still a subject of debate to this day – biologists have found it has genes usually only present in fish and amphibians. A male platypus even has ten sex chromosomes (XYXYXYXYXY), instead of the normal two for a mammal.
Ah, but there’s a weasel word there: “normal”. And with sex chromosomes, perceptions of “normal” play a huge role – not only in what we think that they are and do, but in the very existence of the term “sex chromosomes”. This is the subject of Sarah Richardson’s revelatory book Sex Itself: The Search for Male and Female in the Human Genome, a history of the science of sex and the invention of the sex chromosome concept – one that Richardson argues we should reject entirely as a mistake that has led to bad science, societal prejudice and widespread misunderstanding of what sex really is.
This is the point in talking about this issue where, so to speak, things can fall apart. Just as mammals not only don’t lay eggs, but shouldn’t, it can come across as a bizarre postmodern self-indulgence to say that humanity isn’t split neatly in two on the basis of whether they’re chromosomally male (XY) or female (XX). This is a framework that makes intuitive sense to almost everyone because it correlates exactly with sexual dimorphism – there are those with penises, and those with vaginas, and with a bit of luck combining the two means we end up with even more humans that each have their own penises or vaginas. But like the platypus, it’s crucial not to think the taxonomy more important than the reality it’s meant to describe.
As Claire Ainsworth writes for Nature, the science of sex has, for some years now, recognised that sexual characteristics exist on a spectrum – not as a binary:
Sex can be much more complicated than it at first seems. According to the simple scenario, the presence or absence of a Y chromosome is what counts: with it, you are male, and without it, you are female. But doctors have long known that some people straddle the boundary – their sex chromosomes say one thing, but their gonads (ovaries or testes) or sexual anatomy say another. Parents of children with these kinds of conditions – known as intersex conditions, or differences or disorders of sex development (DSDs) – often face difficult decisions about whether to bring up their child as a boy or a girl. Some researchers now say that as many as 1 person in 100 has some form of DSD.
…
Since the 1990s, researchers have identified more than 25 genes involved in DSDs, and next-generation DNA sequencing in the past few years has uncovered a wide range of variations in these genes that have mild effects on individuals, rather than causing DSDs.
Ainsworth’s article is an excellent overview of the current state of the science of sex; Richardson, as a historian and philosopher of science, excels at telling of the people whose work (and whose mistaken assumptions) has misled popular thinking on sex over the years. She describes how existing sex and gender stereotypes were projected onto chromosomes by early researchers, in turn creating and reinforcing the misunderstanding among the wider public that the strict XX/XY binary is a true synecdoche for sexual dimorphism. In reality, there are extremely few sexual characteristics solely controlled by the presence or absence of a Y chromosome – and just as there are plenty of characteristics controlled by genes found on other chromosomes, the “sex” chromosomes also carry genes that determine traits that have nothing to do with sex.
Y is not the essence of masculinity, nor is X that of femininity. As Richardson writes:
Gender has helped to shape the questions that are asked, the theories and models proposed, the research practices employed, and the descriptive language used in the field of sex chromosome research… Today, scientific and popular literature on the sex chromosomes is rich with examples of the gendering of the X and Y. Humorous maps of the X and Y chromosome – pinned up on laboratory walls and always good for a laugh in an otherwise dry scientific talk – assign stereotypical female and male traits to the X and Y, from the ‘Jane Austen appreciation locus’ to ‘channel flipping’.
The X is dubbed the ‘female chromosome’, takes the feminine pronoun ‘she’, and has been described as the ‘big sister’ to ‘her derelict brother that is the Y’ and as the ‘sexy’ chromosome. The X is frequently associated with the mysteriousness and variability of the feminine, as in a 2005 Science article headlined ‘She Moves in Mysterious Ways’ and beginning, ‘The human X chromosome is a study in contradictions’. The X is also described in traditionally gendered terms as the more ‘sociable’, ‘controlling’, ‘conservative’, ‘monotonous’, and ‘motherly’ of the two sex chromosomes. Similarly, the Y is a ‘he’ and ascribed traditional masculine qualities – ‘macho’, ‘active’, ‘clever’, ‘wily’, ‘dominant’, and also ‘degenerate’, ‘lazy’, and ‘hyperactive’.”
We treat the X and Y chromosomes in a way we’d never think of treating other physical characteristics – many people who would think it absurd or rude to tell a stranger that “really you’re male, though” because they have short hair, or a penis, or excess body hair, nevertheless think nothing of doing so when it comes to having XY chromosomes. Sex Itself is the story of how some scientists became convinced that there was something in the body, and then the cell, and then the genome, that would literally be “sex itself” – the only thing that truly mattered for sex, the thing that was its true source and the thing that finally allowed for a simple, causational definition of sex. It’s also the story of how the premise of that entire argument was wrong from the start.
Surprisingly, though, the emergence of the “sex chromosome” concept didn’t happen immediately – while the term itself was first coined by Edmund Wilson of Columbia University in 1906, and not generally accepted by the rest of the science world until the 1920s due to its incompatibility with what was already understood about inheritability.
During the 19th century, biologists were “fascinated by the diversity of forms of sexual dimorphism and intersexuality in nature”, Richardson writes. Sex was seen as something that began before conception and which could change before and after birth – experiments with castrated chickens, and male guinea pigs given ovaries through transplants, gave rise to what was known as the “metabolic model”. A combination of environmental factors – like the health of the parents, or the temperature of an egg – determined the sex development of the offspring.
By the end of the century, though, microscopes had improved enough to allow biologists to see inside the nuclei of cells, and researchers “raced” each other to try and identify the cellular evidence that would confirm the theories put forward by Darwin in On The Origin of Species in 1859. It didn’t take long for chromosomes to be found – but German cytologist Hermann Henking found a weird, unpaired chromosome in the sperm of a fire wasp in 1891. He called it the “X element”, and others speculated that it might be a “degenerate” or “accessory” chromosome that no longer serves a purpose, like the appendix in the human gut.

Stevens and Wilson both agreed that the X and the Y had something to do with sex – but they disagreed as to what. Stevens thought that sex must be one of the traits carried on the X, in the same way other chromosomes seemed to carry multiple traits; Wilson, instead, saw them as solely sex-determing. There was “a whole-chromosome effect – one X kept things titled towards maleness, while two Xs pushed the balance in favour of femaleness”.
The two worked to refute each other until Stevens died in 1912, aged 50. By 1920, Wilson’s version of the chromosomal theory of sex won out, as the term “sex chromosomes” became almost ubiquitous in the scientific literature, displacing “accessory chromosomes”, “hetero-chromosomes” and “idiochromosomes” as popular alternative labels. This came after a strong fight from those who disagreed. Richardson writes of Thomas Montgomery at the University of Philadelphia, who called the sex chromosome theory “an absurd and simplistic overextension of the chromosome theory of heredity”; and of Thomas Hunt Morgan, one of the leading figures in the young field of embryology, who blasted it for inventing “a special element that has the power of turning maleness into femaleness”.
Calling them “sex chromosomes” ran against the accepted convention of naming other chromosomes after their size and structure within a cell, not their function. And there were still unanswered questions: what the hell was going on with species that reproduce with more than two X accessory chromosomes at a time? What about odd numbers of sex chromosomes? A significant number of species didn’t reproduce in line with the neat sex chromosome theory. Wilson was one of those who tried to integrate the sex chromosomes into the metabolic theory – with sex chromosomes, hormones and environmental pressures each influencing how offspring move through different parts of the sex development spectrum – but the damage, Richardson argues, was done.
One of the main reasons the name had such appeal, she argues, is that the 1920s and 30s was when oestrogen and testosterone were first isolated, and the idea of binary “sex hormones” captured the popular imagination:
By the mid-1920s, hormones had become, like genes today, the most prominent object of biomedical, pharmaceutical, and popular interest to emerge from modern biology. Sex hormones seized the public imagination and became a node through which ideas were exchanged between scientific theory and cultural norms, ideologies, and expectations. Scientists promoted the view that the sex glands were the ‘master glands’ of the endocrine system… Pharmaceutical hormone therapies promised new fertility aids and offered the prospect of a simple, highly effective means of birth control. Many also believed hormones would permit the correction of modernity’s gender deviants – feminist spinsters, homosexuals, impotent males, and frigid wives. The endocrinology pioneer Eugen Steinach promoted testicular transplantation as a medical cure for homosexuality and a ‘rejuvenation’ therapy for low virility and listlessness in elderly men.”
(It was around this time, by the way, that Frank Buckley, the then-manager of Wolverhampton Wanderers, started a rumour that he was injecting his players with a serum taken from monkey glands to improve their performance. The sex hormone fad was weird.)
In this context, sex chromosomes made perfect sense – a matching pair to go with the hormones that determine maleness and femaleness. By the end of the 1930s, the metabolic theory had been discarded in favour of this new model, where the genetic sex (XX/XY) causes the developments of either testes or ovaries, which in turn create the sex hormones that take care of the rest. This two-stage process was “a powerful mutually self-reinforcing framework for the biology of sex”, and the foundation upon which later work – like the idea that sex is biological and fixed, and gender social and malleable – was built.
This can been seen in how the sex chromosomes began to influence debates on gender and sexuality. There was speculation that the Y chromosome “represses” the feminine X, or that femaleness is the “absence” of maleness; or, that the “greater intellectual variability among males” (ie, why male researchers thought men were smarter than women) was down to the lottery of having a single X chromosome. With two Xs, unusual recessive traits would be more commonly repressed, but with one, rare genes presumed responsible for genius must be allowed through. And, similarly, early women’s rights activists and feminists, as well as male writers like the anthropologist Ashley Montagu, seized on the idea of having twice as much X as men as the scientific justification for what was really women’s “biological superiority” over the male. The idea of the X and Y carrying “sex itself” was entrenched, helped by the fashionable eugenics of the time that saw biology as the justification for a range of racist, sexist and classist prejudices.
This only became worse after the Second World War, with the discoveries of DNA and the first specific chromosomal causes for certain illnesses (like Down’s Syndrome, caused by an extra chromosome 21). The fashion was to think of genetics as the reductive answer to everything – it felt like every physical characteristic, from eye colour to height to intelligence to sex, was caused by the presence or absence of a single gene or set of genes. The sex chromosomes of the 1930s hormonal model – “the genetic homunculi underlying sexual dimorphism”, as Richardson calls them – fit perfectly into this new paradigm.
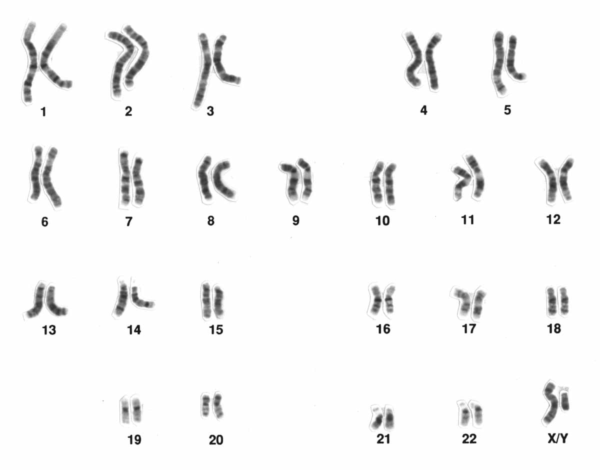
Karyotypes (pictures of chromosomes against a stark white background) became widely known, giving people perhaps the first real iconic image of the human genome. The sex chromosomes were shoved to the margin or to the end of the last row, accentuating their perceived difference – the format still used today:

Sex Itself has plenty of stories about the general public not understanding that X and Y are not all there is to sex, but it has even more when it comes to scientists leaning on theoretical models built on sand not realising until too late. (Though that isn’t to say this was true of everyone – Richardson finds plenty of evidence of geneticists struggling to figure out how much influence they should really ascribe to the X and the Y.)
One particularly damning example is that of the so-called “super male” – the discovery by a researcher that an unusually high number of men incarcerated in an Edinburgh prison had an extra Y chromosome (making them “XYY males”), leading to speculation that “it predisposes its carriers to unusually aggressive behaviour”. The amount of time spent investigating this hypothesis, and its influence on pop culture, is astounding:
The so-called XYY syndrome was a mainstream target of investigation in the most prestigious journals of biology, genetics, and cytogenetics… by 1970, nearly two hundred papers on the link between XYY and aggression had appeared in the scientific literature. Between 1960 and 1970, XYY research comprised 82 per cent of all published scientific studies on the human Y chromosome. It accounts for 28 per cent of the entire body of Y chromosome research generated in the quarter-century between 1960 and 1985.
…
As Jeremy Green records, ‘by the early 1970s, there had been at least two thriller films in which the main character is a violent criminal driven by a chromosome abnormality, a series of crime novels with an XYY hero (who constantly wrestles with his inner compulsion to commit crimes), and as a spin-off from the novels, a TV series called The XYY Man’. The Oxford English Dictionary cites Peter Cave’s 1974 Dirtiest Picture Postcard as the earliest English-language usage of the Y chromosome in a nonscientific text: ‘You’ve buttonholed me to give me long and boring lectures upon Germaine Greer, the faulty Y chromosome and the drudgeries of housework and child-bearing’.
But of course there was no link between having an extra Y chromosome and extra “maleness”, because maleness is not defined by the Y chromosome. Stereotypically male traits (like aggression, even though not every XYY male in a prison was there because of violent crime) are a result of a complex interplay of nature and nurture, and the projection of the western concept of maleness onto the Y chromosome led to untold hours of research into a dead-end.
And this type of thinking was common with the X chromosome as well – Richardson describes how Klinefelter (XXY) males were seen as more “mother-dependent”, and tested to see if they were more like men or women in their verbal and social skills. XXY males look like men, and most men with the extra chromosome never realise they have it – yet researchers often interpreted their deviations from normal maleness (like larger breasts or smaller testes) not on objective terms, but as “feminised” male traits, in turn creating a stigma.
The last gasp of the sex chromosome theory came in the 1990s, with the discovery of the SRY gene on the Y chromosome – without it, the development of male gonads is impossible. It’s the only genetic tag found only in those who present as male, and is the best candidate to underpin the classic sex chromosome theory. But, as Richardson writes: “Today the SRY gene is understood as one among the many essential mammalian sex-determining factors that are involved in the genetic pathways of both testicular and ovarian determination. Mammals require cascades of gene product in proper dosages and at precise times to produce functioning male and female gonads, and researchers recognize a variety of healthy sexual phenotypes and sex determination pathways in humans.”
Ascribing biological sex based on the presence or absence of the SRY gene makes no sense when it’s only part of a massively complex network of other biological and environmental factors, especially when it’s not even necessary in every species of mammal. (And perhaps we owe our Victorian ancestors some belated recognition here for their more nuanced appreciation of sex development.) Many scientists strenuously argue that research into the genetics of race shouldn’t begin by cataloguing genomes by what we perceive to be different racial groups, to avoid projecting racial bias onto results – shouldn’t we do the same for sex?
Richardson points to several different groups as responsible for digging genetics out of its chromosome-determining rut: criminal psychologists, clinical physicians and, above all, feminists, whose interrogations of gender and sexuality (often from outside the scientific academy) created an important body of empirical evidence. Anne Fausto-Sterling and Jennifer Graves, in particular, as well as feminist science pressure groups like the Society for Women’s Health Research, are cited as important critics of the binary representation of biological or genetic sex – and critical to the post-2000 “conceptual shift” towards the complex model we know today, where the interplay of different genetic and environmental factors gives rise both to physical sex characteristics and aspects of the psychological feeling of gender identity.
Sex Itself is a comprehensive demolition of the very term “sex chromosomes” – a taxonomy from nearly a century ago, stumbling along half-alive in the public’s imagination but long overdue a visit to the glue factory:
Gender ideology is dynamic, persistent, and ever-present in genetic and genomic research on sex and gender; it cannot be surgically or permanently excised from the science. Rather than seeking to somehow eliminate gender in science, we are better advised to focus on modeling the many roles of gender assumptions in particular areas of the sciences to develop gender-critical methods for and approaches to science.
The question is not ‘how can we get all of this gender politics out of genetics?’ but rather ‘how can we enlarge and critically hone our ideas about gender, which are central to our scientific theories of sex?’
In the time between the discovery of Pluto in 1930 and its reclassification as a dwarf planet in 2006, it had only completed a third of a full orbit around the Sun; about the same amount of time sex chromosomes had to enjoy being mystical arbiters of all things sex. Worrying about the hurt feelings of a downgraded planet is as sensible as worrying about those for some clumps of genetic material in a cell – what matters is how we make sure that we interpret our world, and build our taxonomies, in such a way that improves our understanding of the world, not limit it.
This article was originally published in the NewStatesman.